폐렴 전염성과 초기증상 4가지 및 폐렴구균 예방접종 가격 횟수 총정리
폐렴은 전 세계적으로 많은 사람들이 겪는 질병으로, 누구에게나 발병할 수 있으며 노약자나 면역력이 약한 사람들에게는 심각한 합병증을 초래할 수 있는 위험한 질병입니다. 이에 폐렴의 초기증상, 폐렴이 어떻게 전염되는지, 폐렴구균 예방접종의 중요성에 대해 알아보고 또한, 폐렴구균 예방접종의 가격과 접종 횟수에 대해서도 자세히 정리해 보았습니다.


폐렴 초기증상 4가지
초기증상 이해
폐렴은 흔히 호흡기 감염으로 시작되며, 초기에는 감기나 독감과 유사한 증상을 보입니다. 이러한 초기 증상들은 주로 바이러스나 세균이 폐에 감염되어 폐렴이 발생하기 전에 나타납니다. 이 섹션에서는 폐렴의 초기 증상에 대해 더욱 자세히 알아보겠습니다.
■ 폐렴 초기와 감기/독감과의 차이점
폐렴의 초기 증상이 감기나 독감과 매우 유사하기 때문에 이를 구별하는 것은 어렵습니다. 하지만 일반적으로 감기나 독감은 1주일 내에 개선되는 반면, 폐렴은 상태가 지속적으로 악화될 수 있습니다. 이런 이유로, 만약 감기나 독감의 증상이 일주일 이상 지속되거나 개선되지 않을 경우, 의사의 진단을 받는 것이 중요합니다.
주요 초기증상
■ 고열과 오한
폐렴은 보통 고열과 함께 시작됩니다. 이 고열은 일반적으로 38도 이상입니다. 또한, 환자는 오한을 느낄 수 있으며, 이는 몸이 감염과 싸우려고 하는 반응입니다.
■ 기침
기침은 폐렴의 가장 흔한 초기 증상 중 하나입니다. 처음에는 건조한 기침일 수 있지만, 시간이 지나면서 점액 또는 고름(흰색, 녹색, 또는 노란색)을 동반하는 기침으로 변할 수 있습니다.
■ 가슴 통증
기침하거나 깊게 숨쉴 때 가슴이 아프다면, 이는 폐렴의 초기 증상일 수 있습니다. 이는 감염이 폐의 조직을 자극하기 때문에 발생합니다.
■ 호흡곤란
폐렴은 폐의 염증과 점액이 쌓이면서 숨쉬기 어렵게 만들 수 있습니다. 이는 특히 운동할 때 또는 계단을 오르는 등의 활동 중에 더욱 명확하게 느껴질 수 있습니다.
심각한 증상
폐렴이 진행되면서, 초기 증상 외에도 더 심각한 증상들이 나타날 수 있습니다. 이러한 증상들은 폐렴이 중증화되고 있음을 나타내며, 즉시 의료 지원이 필요함을 의미합니다.
■ 피나 고름이 섞인 기침
피나 고름이 섞인 기침은 폐에서 염증이 심각해짐을 나타냅니다. 이는 특히 폐렴구균에 의한 폐렴에서 흔히 관찰됩니다.
■ 가빠지는 호흡
폐렴이 심각해지면 호흡 속도가 빨라질 수 있습니다. 이는 폐가 산소를 효과적으로 공급받지 못하고 있음을 나타냅니다.
■ 피부, 입술, 혀 청색증
폐렴이 심각해지면서, 산소 공급이 부족해지면 피부, 입술, 혀가 파랗게 변할 수 있습니다. 이는 산소 수준이 급격히 감소하고 있음을 나타냅니다.



폐렴 전염성
폐렴 전염성 이해
폐렴은 다양한 미생물, 특히 세균과 바이러스에 의해 발생하는 질병입니다. 폐렴이 전염성이 있는지 여부는 그 원인이 되는 미생물의 종류에 따라 다릅니다. 이 섹션에서는 폐렴의 전염성에 대해 더욱 자세히 알아보겠습니다.
주요 전염 경로
■ 호흡기를 통한 전염
폐렴의 가장 흔한 전염 경로는 감염자의 입이나 코에서 나오는 작은 물방울을 통한 전염입니다. 이러한 물방울은 기침, 재채기, 말하기 등으로 공기 중으로 퍼져 나가며, 다른 사람이 이를 들이마시거나 코로 들이쉼으로써 감염이 이루어집니다.
■ 물리적 접촉을 통한 전염
또한, 감염자가 만진 사물을 건드리거나, 감염자와 직접 접촉하는 것을 통해서도 폐렴 세균이나 바이러스는 전파될 수 있습니다. 이러한 이유로 손 씻기와 기침 예절은 폐렴을 예방하는 데 매우 중요합니다.
전염 가능성
■ 세균성 폐렴
세균성 폐렴, 특히 폐렴구균에 의한 폐렴은 매우 전염성이 있습니다. 폐렴구균은 호흡기 감염을 일으키며, 공기 중에 노출되어 다른 사람에게 쉽게 전파될 수 있습니다.
■ 바이러스성 폐렴
바이러스성 폐렴도 세균성 폐렴처럼 전염성이 있습니다. 특히 인플루엔자 바이러스나 코로나바이러스 등은 호흡기를 통해 쉽게 다른 사람에게 전파될 수 있습니다.
전염 기간과 예방
■ 폐렴의 전염 기간
폐렴의 전염 기간은 대개 증상이 나타나기 시작한 시점부터 증상이 완전히 사라지기까지를 가리킵니다. 그러나 폐렴의 원인이 되는 세균이나 바이러스의 종류에 따라 이 기간은 달라질 수 있습니다.
■ 폐렴 예방법
폐렴의 전염을 막는 가장 효과적인 방법은 예방 접종을 받는 것입니다. 특히 폐렴구균에 대한 예방접종은 모든 연령대의 사람들에게 권장되며, 특히 노약자나 면역계가 약한 사람들에게 중요합니다. 또한 손 씻기와 기침 예절을 준수하는 것도 폐렴의 전파를 막는 데 중요합니다.



폐렴구균 예방접종 가격 횟수 총정리
폐렴구균 예방접종의 중요성
폐렴은 감염된 세균, 바이러스 또는 진균의 종류에 따라 달라질 수 있지만, 가장 흔한 원인은 '폐렴구균(Streptococcus pneumoniae)'입니다. 이 폐렴구균은 심한 폐렴을 유발할 뿐만 아니라, 중이염, 패혈증, 뇌수막염 등의 질환도 일으킬 수 있습니다. 이러한 이유로, 폐렴구균 예방접종은 아주 중요합니다.
■ 폐렴구균 예방접종의 효과
폐렴구균 예방접종은 폐렴구균에 의해 발생할 수 있는 다양한 질환들을 예방하는 데 매우 효과적입니다. 또한, 이 접종을 통해 개인의 건강을 보호함은 물론, 감염이 다른 사람에게 전파되는 것도 막을 수 있습니다.
폐렴구균 예방접종 가격
2023년부터 화이자가 제조한 폐렴구균 예방 백신인 '프리베나13'의 일반 접종용 공급가는 6만 6073원으로, 이전 가격인 5만6473원보다 17% 상승하였습니다. 이 가격 상승의 원인은 백신 품질과 물류 관리 비용, 그리고 물가 상승 등이 있습니다.
프리베나13는 일반 접종용과 국가필수예방접종사업용(NIP) 두 가지 종류가 있습니다. 일반 접종은 65세 이상인 경우에 비급여이며 본인 부담이 됩니다. 한편, 생후 2개월부터 5세 미만의 영유아는 NIP 사업대상으로 포함되어 무료 접종이 가능합니다. 단, 65세 이상 어르신의 경우 NIP 사업 제품인 폐렴구균 23가 다당백신(PPSV23)은 무료로 접종받을 수 있습니다.
현재 서울지역 의원급 병원에서의 프리베나13 접종 가격은 약 10만원에서 13만원 사이이며, 평균 접종가는 약 12만 144원입니다. 이는 건강보험이 적용되지 않는 비급여 품목이기 때문에 병원마다 접종 가격이 다를 수 있습니다.
폐렴구균 예방접종 횟수
폐렴구균 예방접종의 횟수는 접종을 받는 사람의 연령, 건강 상태, 그리고 접종한 백신의 종류에 따라 달라집니다.
일반적으로 65세 이후에 폐렴접종은 1회만 접종합니다. 단, 65세 이전에 폐렴접종을 받은 분은 마지막 접종일로부터 5년 경과 후 1회 접종합니다.


폐렴 자주 묻는 질문 FAQ
Q. 폐렴은 얼마나 심각한 질병인가요?
폐렴은 증상의 정도에 따라 다르지만, 일반적으로는 심각한 질병으로 분류됩니다. 특히 노약자나 면역력이 약한 사람들은 폐렴에 의해 심각한 합병증을 야기할 수 있으므로 주의가 필요합니다.
Q. 폐렴은 어떻게 진단되나요?
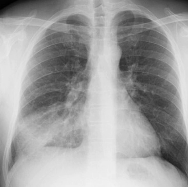
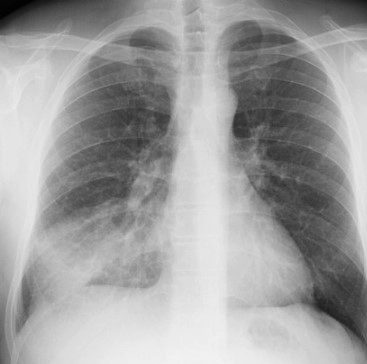
폐렴의 진단은 대체로 증상, 신체 진찰, 그리고 추가적인 검사를 통해 이루어집니다. 의사는 기침, 고열, 가슴 통증 등의 증상과 체온 측정, 심장 및 호흡 소리 청진 등의 신체 진찰을 진행할 것입니다. 또한, X-레이나 CT 스캔 같은 영상 진단, 혈액 검사, 가래 검사 등을 통해 확진을 내릴 수 있습니다.
Q. 폐렴의 잠복기는 얼마나 될까요?
폐렴의 잠복기는 폐렴을 일으키는 세균이나 바이러스의 종류에 따라 다릅니다. 일반적으로, 폐렴구균에 의한 폐렴의 잠복기는 13일이며, 바이러스성 폐렴의 경우에는 13일에서 수주일까지 다양합니다.
■ 세균성 폐렴의 잠복기
세균성 폐렴은 주로 '폐렴구균'에 의해 발생하며, 이 경우 평균 잠복기는 1~3일입니다. 하지만 다른 세균에 의해 발생하는 폐렴의 경우 잠복기는 다를 수 있습니다.
■ 바이러스성 폐렴의 잠복기
바이러스성 폐렴, 특히 인플루엔자 바이러스에 의한 폐렴의 경우, 잠복기는 1~3일이며, 다른 바이러스에 의한 폐렴은 수일에서 수주일까지 잠복기가 늘어날 수 있습니다.
Q. 폐렴은 어떻게 치료할까요?
폐렴의 치료는 폐렴의 원인인 세균 또는 바이러스의 종류와 환자의 전반적인 건강 상태에 따라 다릅니다.
■ 항생제 치료
세균성 폐렴의 경우, 보통 항생제로 치료됩니다. 사용되는 항생제의 종류는 감염된 세균의 종류에 따라 달라집니다. 치료가 시작되면 대개 증상이 호전되기 시작하고, 전체 치료 기간은 대략 7~14일입니다.
■ 바이러스성 폐렴의 치료
바이러스성 폐렴의 경우, 항바이러스제가 사용될 수 있지만, 대부분의 경우는 증상을 관리하는데 집중됩니다. 이는 바이러스성 폐렴이 대부분의 경우 자연스럽게 회복되는 경향이 있기 때문입니다.
Q. 폐렴은 재발할 수 있나요?
■ 폐렴의 재발 가능성
폐렴은 재발할 수 있습니다. 특히, 기초 질환(예: 만성 폐 질환, 면역 체계 문제 등)을 가진 사람들이나 생활 습관(예: 흡연) 때문에 폐의 건강이 좋지 않은 사람들은 폐렴이 재발할 위험이 더 높습니다.
■ 재발 예방
폐렴의 재발을 막기 위한 가장 좋은 방법은 건강한 생활 습관을 유지하고, 가능한 경우 폐렴구균 예방접종을 받는 것입니다. 또한, 기존의 폐렴 치료가 완전히 마무리되었는지 확인하는 것도 중요합니다. 마지막으로, 재발을 막는 가장 좋은 방법은 흡연을 멈추는 것입니다. 흡연은 폐렴과 다른 호흡기 질환에 대한 위험을 크게 증가시키므로, 흡연을 그만두는 것은 건강에 매우 중요한 선택입니다.
Q. 폐렴은 재발할 수 있나요?
네, 재발할 수 있습니다. 특히 세균성 폐렴인 경우, 한 번 감염된 후 면역이 약해져 재발의 위험이 있습니다. 또한, 폐렴 치료 중 항생제 복용을 중단하면 재발할 위험이 높아집니다. 따라서, 의사의 지시에 따라 약을 복용하고, 증상이 사라져도 약을 복용하는 것이 중요합니다.
Q. 폐렴구균 백신은 누구에게 필요한가요?
폐렴구균 백신은 모든 연령대의 사람들에게 권장되지만, 특히 노약자나 면역력이 약한 사람들에게 필수적입니다. 또한, 만성 질환을 앓고 있는 사람들, 폐질환을 가진 사람들, 흡연자 등에게도 필요합니다. 그러나 개인의 건강 상태와 위험 요소에 따라 백신을 접종할 필요가 있는지 여부는 의사와 상의하는 것이 가장 좋습니다.



'건강' 카테고리의 다른 글
| 뎅기열 증상 8가지 예방접종 및 방글라데시 방문 한국인 뎅기열 사망 소식 (0) | 2023.09.01 |
|---|---|
| 기억력 감퇴이유 6가지 및 기억력 좋아지는 법과 개선 영양제 추천 (자주묻는질문) (0) | 2023.08.01 |
| 구안와사 전조증상 6가지 구안와사에 좋은 음식 베스트 추천 (자주 묻는 질문) (0) | 2023.07.20 |
| 밀크시슬 탈모 개선 효과 및 밀크시슬 복용법과 하루권장량 (+ 자주묻는질문) (0) | 2023.07.18 |
| 대상포진 초기증상 4가지 및 대상포진 전염성과 병원 예방접종 가격 정리 (0) | 2023.07.15 |
| 호두 효능 5가지 및 호두 한 알 칼로리와 하루 권장 섭취량 총정리 (0) | 2023.07.13 |
| 손톱 검은세로줄 원인 5가지 및 손톱발톱밑 흑색종 검사 및 치료방법 (0) | 2023.07.10 |
| 종어 물고기 맛 영양소 효능 총정리 (0) | 2023.06.16 |













































